《二、甲状旁腺》

二、甲状旁腺

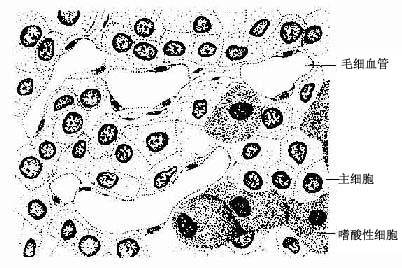
甲状旁腺一般有上下两对,位于甲状腺左右叶的背面。成人甲状旁腺呈棕黄色的扁椭圆形,总重约120mg。腺表面包有薄层结组织被膜,腺细胞排列成索团状,其间富含有孔毛细血管及少量结缔组织,还可见散在脂肪细胞,并随年龄增长而增多。腺细胞有主细胞和嗜酸性细胞两种(图11-3)。

甲状旁腺

图11-3 甲状旁腺

Processed in 1.138646 Second , 20 querys.